What is a Frenum, and Why It Can Sometimes Cause Big Problems

Tongue ties are most often associated with newborns because they can interfere with breastfeeding. But many people with them pass into adulthood without detection. They can cause many problems for adults too. If you need information on newborn and infant tongue ties, click here. A tongue tie is when the attachment of the tongue to the floor of the mouth is too short, restricting its movement. The technical term for it is ankyloglossia. Some people refer to it as tethered oral tissues

What is a Frenum?

The technical name of the attachment of oral soft tissue to bone is frenumfrena when plural. There are three main frena: the ones attaching our upper and lower lips (labial Frena) to our jaws and the one under the tongue that anchors it to the jaw well below the lower anterior teeth (lingual frena). There may be several others, and they are usually less significant and can also be called frenula or a frenulum singularly. 

Frena Are Variable

The frena we have can vary from person to person. Generally, they are classified by how far they attach to or near the gums. The mushy soft tissue on our cheeks is called the mucosa. The mucosa loops around toward our teeth and becomes harder and lighter pink. The transition is abrupt. The harder and lighter gums are known as attached gingiva. When the frenum attachment area falls shy of the attached gingiva surrounding our teeth, it is called a mucosal frenum

When the frenum attaches to the gingiva, it is called a gingival frenum. The triangular points of gingiva between our teeth are called papillae, or a papilla singularly. When the frenum attaches to a papilla, it is called a papillary frenum. Finally, sometimes the frenum attaches past the papilla penetrating behind the teeth into the mouth. This form is called a papilla penetrating frenum

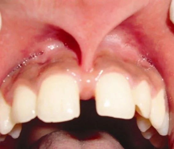
Problems With The Labial Frenum

When the frena attaching the upper or lower lips are papillary penetrating, they are problematic because lip movements can tug on the papilla harshly, resulting in a few different problems:

  1. The frenum can pull the gums away from the tooth, causing recession.

  2. The frenum can exert lateral pressure that can spread the teeth apart-usually the middle two incisors. If orthodontics is performed to close the space, it will reopen if the frenum is not corrected.

  3. The frenum can pull the gingiva away from the tooth and cause a gap in that plaque accumulates. When plaque penetrates far under the gums, it can cause gum disease (periodontitis). 1

Problems With Babies

Unfortunately, 25 to 45% of healthy infants and children and up to 80% of premature babies experience breastfeeding difficulties making tongue ties even more difficult to diagnose. 2 The lingual frenum gets most of the attention from dentists when problematic because it causes several problems. Here is a list of problems babies have:

  • Complete or partial failure to latch onto the nipple

  • Clicking noise when breastfeeding

  • Prolonged suckling with frequent breaks

  • Chewing rather than suckling

  • Fussy feeding routine

  • Constant hunger

  • Failure to gain weight

  • Mothers often experience pain and frustration. In addition, problematic suckling can lead to wounded nipples, and serious breast infections called mastitis.

Problems With The Lingual Frenum in Children and Adults

Up to 5% of adults have tongue ties and may not know it because the oral tissues are very elastic, and short frena can be compensated for in many ways without a thought. Short lingual frena may manifest as:

  • Speech problems

  • Swallowing problems causing bloating and reflux

  • Orthodontic problems

  • Facial growth problems

  • Eating Problems

  • Drinking problems (not the alcohol kind!)

  • Discreet Problems With Short Lingual Frena

  • Small issues that evade notice or are deemed normal to the individual suffering from a tongue tie may also be present. These include:

  • Inability to stick out the tongue

  • Inability to move the tongue from side to side

  • Inability to sweep food from the teeth resulting in oral hygiene issues and bad breath (halitosis)

  • Insignificant lisps considered cute that are considered distinctive

Tongue Thrusts

All babies are born with a distinctive swallowing pattern where the tongue pushes forward, facilitating breastfeeding. However, as babies mature, they usually transition to a proper sucking motion where the tongue moves in a more up and down motion as opposed to suckling, where there is a forward and down tongue movement. With lingual tongue ties, the child may retain the forward tongue motion. Persistent infantile swallowing is known as a tongue thrust. There are other causes of persistent tongue thrusts, like pacifier use and early weaning. 

The tongue can cause the top and bottom front teeth to move away from each other so that the front teeth remain apart when the back teeth meet. This condition is called an open bite. As a result, people with this condition have difficulty biting off pieces of food with their front teeth. 

Jaw Problems

Other problems arising from an open bite are that the back teeth collide, causing pain and wear. In addition, poor mechanics can translate improper force to the temporomandibular joints (TMJ), leading to more pain and malnutrition. Finally, proper tongue posture is when the tongue sits firmly behind the front teeth on the palate when we are not eating or speaking. If the tongue does not regularly occupy the palate, the bones of the face will not grow large enough. Crooked teeth result. Worse, breathing issues may arise. Sleep apnea is common in people with tongue ties. For more on apnea, see this post.

Digestive Problems

As I have mentioned, improper swallowing can ensue when the tongue does not move due to a tight frenum which can lead to swallowing air (aerophagia). As a result, bloating, indigestion, and GERD (gastroesophageal reflux disease) can occur. In addition, acid from the stomach that enters the mouth can erode teeth. See my post on erosion here

Speech and Orthodontic Problems

When the tongue has limited motion, speech can suffer. For example, T, D, S, Z, N, and L sounds may be difficult if the tongue can't reach the palate. TH and R sounds may also be affected. Speech pathologists are often needed with tongue ties. Children with speech impediments may suffer emotionally. Finally, facial growth may be suboptimal, and teeth may be crooked, causing additional emotional trauma.

Orofacial Myofunctional Therapy

Before correcting ankyloglossia, orofacial myofunctional therapy (myo) should be initiated. Myo is a unique type of physical therapy for the face, tongue, lips, cheeks, and more. See this post by Brittny Murphy for more on myo. She is one of the premier therapists in the country. Think of the tongue as a caged animal when tongue ties exist. We would not expect an animal that has been caged its entire life to survive when freed from its cage. For the same reason, freeing up a tongue tie without first training it where to be and how to move is a mistake. Once the tongue is free to move, additional therapy is necessary to ensure the tongue and other oral tissues function harmoniously.

Surgical Correction

Luckily, surgical repair of tight frena is a relatively easy procedure as surgery goes. Laser surgery is the norm, and it takes minutes to complete. Pain, swelling, and bleeding are minimal. Side effects are rare. Surgery can be done at any age, but the earlier, the better because proper speech, chewing, swallowing, and facial growth should be optimized early to prevent the numerous problems mentioned in this post. After correction, orthodontics, speech therapy, and other modalities may be needed.

Conclusion

Your dentist should be able to identify problems with your frena. However, many practitioners do not prioritize structures away from the teeth and gums. You may want to see a dentist who knows about airway problems and tethered oral tissues. Qualified practitioners can be found on the American Academy of Physiological Medicine and Dentistry website. Click here to find one.