Plant-based Vs Animal-based Diets: Modern Disease in Ancient Egyptians

4500-Year-Old Obese Egyptian Djehouty, CC BY-SA 4.0 <https://creativecommons.org/licenses/by-sa/4.0>, via Wikimedia Commons

Most people alive today would probably agree that organic, pesticide-free, whole wheat, grain-based diets, low in animal-based foods, richer in plant proteins from lentils and beans, and consisting mainly of vegetables are ideal diets. The ancient Egyptians ate this way. To repeat, it was organic, pesticide-free, and whole-grain. Ask the folks who made the food pyramid (My Plate) and the Eat Lancet Diet, and they will love it. Does it sound amazing to you? Well, not to me. My Plate has adult men eating around ten slices of bread per day, or the equivalent of 47 teaspoons of table sugar! I wrote about how the Eat Lancet Diet causes malnutrition on January 1, which is a similar diet to My Plate. If you are interested in their recommendations—the Lancet's diet causes protein deficiency, among other things. Let’s see how the ancient Egyptians who ate the same way fared.

Background

Grain consumption began after the Stone Age when Egyptian society shifted from a hunter-gatherer lifestyle to a more settled agricultural lifestyle. Incidentally, agriculture began in the Middle East and spread throughout the world rapidly during the Neolithic period. Settling in communities along the Nile Valley meant that their diet changed from being protein-rich to one where carbohydrates played a more predominant role. 1 For those who follow a vegetarian lifestyle, living along the Nile thousands of years ago would have been quite familiar as vegetarianism was widespread. The consumption of meat was not as common as it is today and was mostly limited to nomadic populations. 

Isotopic Analysis Confirms Their Diet

A group of researchers studied isotopes in Egyptian mummies to help them determine what they were eating. Hair absorbs a higher rate of animal proteins than bone or teeth, and the isotope ratios in the hair of the mummies corresponded to that found in the hair of modern European vegetarians, confirming that the ancient Egyptians were vegetarians as well. The isotopes also suggested that fish was not widely consumed, even though there was plenty in the Nile, and there are hieroglyphics depicting their harvest.

Experts say bread and beer were the most important components of the Egyptian diet. As is the case with many modern people, their diet was wheat and barley-based. 2 Emmer wheat, which is now known as farro, was the primary grain that was grown and used to make flour. Egyptians also ate a wide variety of vegetables, including onions, leeks, lettuces, celery (which was often used to flavor stews), cucumbers, radishes, turnips, gourds, melons, and even papyrus stalks. Lastly, to ensure they had enough protein, they also consumed pulses and legumes like peas, beans, lentils, and chickpeas3 Plant protein is much less bioavailable; as a result, protein deficiency can happen even though it appears that enough is consumed, as in the case of the Eat Lancet Diet. However, by most standards today, the ancient Egyptian diet is regarded as healthy. Or is it?...

 How did it Work Out for the Egyptians?

We have thousands of mummies to study to find out which diseases the ancient Egyptians had. Certain medical conditions can leave signs on bones that help identify their existence. For instance, anemia, which is often caused by iron deficiency (much more common in vegans and vegetarians) during childhood, can leave markers in the form of small holes on the roofs of the eye sockets or on the top of skulls. These holes are frequently observed in mummified Egyptian skulls. They also started to suffer from diabetes. Additionally, arthritis and dental issues were common in ancient societies, and ancient Egypt was no different. 3 

Tooth Decay and Gum Disease

The El-Quatta Bridge, 4,500 Years Old Courtesy of ©Egyptian Museum, Cairo

For those of you familiar with this website, you already know the transition from an animal-based diet without processed food to one more grain-centric heralded the start of many diseases like tooth decay, gum disease, osteoporosis, and more. The primary reason behind periodontal disease today is bacterial irritation caused by the buildup of plaque at the gum line. Plaque in hunter-gatherers only extremely rarely causes gum disease. However, the introduction of processed carbohydrates into the diet in the form of flour causes the bacteria to ferment it, producing acids and toxins that instigate gum disease and tooth decay. So we find the early and dynastic Egyptians had gum disease, tooth decay, and other dental malformations not associated with hunter-gatherers.

Malformed Teeth, Impacted Wisdom Teeth, Crooked Teeth, and Malformed Faces

 Enamel hypoplasia, a condition where the enamel is not fully formed, was found in up to 40% of skeletal samples from both Predynastic and Dynastic Egypt. While malnutrition is commonly associated with this condition, other factors, such as major infections and vitamin deficiencies, have also been identified as potential causes. I have written extensively about soft food causing the jaws to underdevelop. If the jaws are not stimulated through chewing hard foods early in life, they do not fully develop, causing impacted wisdom teeth, crowding, and misshapen faces. Notice how King Tut had inferior jaw growth.

King Tut Reconstruction From CAT Scan Courtesy of Supreme Council of Antiquities, Egypt and National Geographic Society 2005

Studies conducted on several thousand ancient Egyptian skulls stored in museums located in Cairo, Cambridge, London, Manchester, and Turin have documented various non-pathological dental abnormalities. These include impacted third molars, retained deciduous teeth, and incisor crowding, as well as examples of displaced, transposed, rotated, and tilted teeth. These conditions are universally present today, but they were extremely rare in hunter-gatherers prior to the advent of agriculture. King Tut, seen above, had a very small mandible. His condition is known as retrognathia and is common today. Among the causes are low-quality, soft, and undernourishing foods.

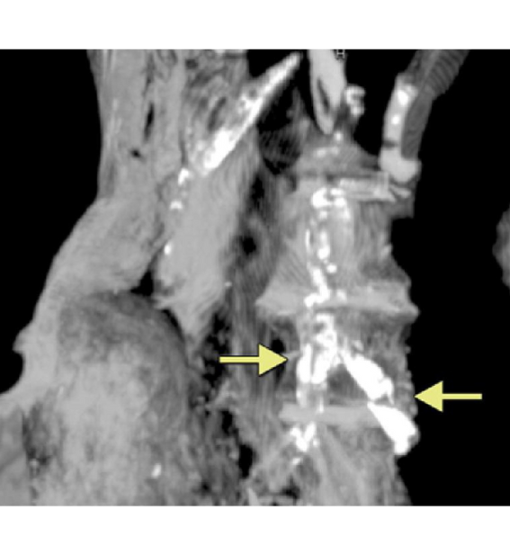
Hardening of the Arteries

3,500 Year Old Aortic Atherosclerosis From Atherosclerosis in Ancient Egyptian Mummies: The Horus Study https://www.sciencedirect.com/science/article/pii/S1936878X11000660?via%3Dihub#fig2

So far, I have spoken about hard tissues, but mummies contain large amounts of well-preserved soft tissues as well. The frequency of hardening of the arteries in ancient Egyptians was 56%, as evidenced by an examination of their mummified bodies. Sixteen mummies who received full-body computed tomography scans had hearts or arteries preserved enough to study. Of those, nine had evidence of blockage from atherosclerosis. The findings suggest that the curse of the mummy may have been a grain-based, low-protein diet. 5 Heart disease is blamed on saturated fat and meat, but it seems vegetarian grain-based diets are more to blame in the case of the ancient Egyptians.

A 2009 paper by the Smithsonian had them baffled as to why mummified Egyptians had such terrible hearts. They stated that processed foods could not have been a factor and mused that it might be beef, duck, and goose, but we know they did not consume many animal-based foods, so this is bunk. 6 Let me enlighten you as to what it may have been…

Cereal and Beer?

What would you call a diet comprised chiefly of wheat and beer? I call it junk food. Imagine subsisting on beer and pretzels, which are dried bread. I am not surprised at the poor health status of many ancient Egyptians. Eating a grain-based diet low in animal protein is far from ideal. Until we realize this, we will continue to suffer the same fate as many ancient Egyptians, or worse.

Why Heart Disease?

I have written about the inflammatory nature of processed carbohydrates and their propensity to cause disease. Heart disease is highly correlated with high blood sugar. When we eat two slices of bread, we have consumed enough to convert the complex carbohydrates into 47 grams of blood sugar. 7 Shockingly, this amount is equivalent to over nine teaspoons of sugar, and we wonder why both the ancient Egyptians and modern Western people are so ill. Remember that the My Plate Diet recommended by the American government has men eating up to ten slices of bread daily. That’s 47 teaspoons of sugar!

Here's a simplistic model briefly explaining why eating too much processed carbohydrates can lead to heart disease:

  • The glucose needs to be shunted from the blood because the carrying capacity of our blood is limited. As a matter of fact, a fasting blood sugar reading over 100 represents only one teaspoon of sugar ideally allowable in our entire blood supply, so nine teaspoons is really bad news. Read this post about how processed carbs spike blood sugar to unhealthy levels.

  • The body converts the excess sugar into triglyceride (fat), which is primarily stored fat. As I have written about before, the ratio of triglyceride to HDL correlates with coronary artery disease. Thus, a grain-centric diet will cause the ratio to rise to unfavorable levels.

So, there you have it. Diets low in protein and high in grains that have been milled into flour are less healthy than the industrial food companies would have you believe. I say Tut-Tut to those advancing such diets. You should not believe me just because of this post. Believe it or not, most Americans try to adhere to the dietary recommendations put forth by our government and others. But look around you. Do we look healthy? The majority of us are overweight. Most of us have had tooth decay. Most of us have had our wisdom teeth out and have crowded teeth. How many people do you know with bad joints? None of this is normal and points to malnutrition as one of the main causes. I recommend a whole-food diet devoid of processed carbohydrates and seed oils that contain fatty animal-based portions. For more on this way of eating, see this post.